Relato de Caso:
Endometriose Cutânea Umbilical Primária. PECIBES, 9-11, 2017.
Resumo
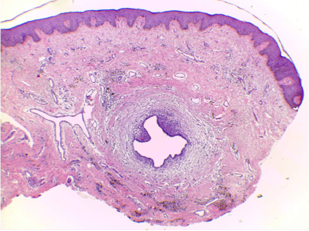
A endometriose é definida como a presença de tecido endometrial funcionante (glândulas e estroma) fora da cavidade uterina, com prevalência de 12% em mulheres em idade fertil. A endometriose cutânea é rara, cerca de 1% do total, porém constitui uma das localizações extra pélvicas mais comuns, sendo classificada em formas primária, espontânea, e secundária. Relata-se um caso raro de endometriose cutânea umbilical primária e ressaltar a importância do diagnóstico precoce para o prognóstico. Relato de caso: Paciente feminina, 32 anos, sem cirurgia abdominal prévia, com história de pápulas eritemato-hipercrômicas com variação de volume em região umbilical, associadas à dor e sangramento local, não relacionada ao ciclo menstrual há 3 anos. Apresentando na histopatologia epiderme sem alterações e derme com tecido endometrial, melanófagos e hemossiderina, compatível com diagnóstico de endometriose cutânea. Discussão: Quanto mais precoce seja o diagnóstico, menor será a necessidade de incisão e ressecção ampla de tecidos. Ainda que de incidência rara e desconhecida, não pode-se esquecer da possibilidade de malignização, que é mais frequente em mulheres com lesões de longa duração não tratadas.
Downloads
Arquivos adicionais
Publicado
Edição
Seção
Licença
Ao publicar na PECIBES, os direitos de copyright são mantidos pelos autores. Acreditamos que isto permite aos autores ampla divulgação do trabalho, sendo os mesmos responsáveis por todas as informações veiculadas. No entanto, em caso de reuso dos dados, a origem (Revista PECIBES) deve ser citada.
